
Canlı Bakterilerden Renk Değiştiren Dövme Basıldı
MIT’den bilim insanları genetiği değiştirilmiş bakteriler kullanarak farklı stimulantlara cevap verebilen canlı dövme geliştirdiler. Elektronik dövmeler ve akıllı mürekkep teknolojileri

MIT’den bilim insanları genetiği değiştirilmiş bakteriler kullanarak farklı stimulantlara cevap verebilen canlı dövme geliştirdiler. Elektronik dövmeler ve akıllı mürekkep teknolojileri

Afrika’da 3.67 Milyon Yıllık İnsan Atası Ortaya Çıkarıldı Güney Afrika’da insan atalarının en eski ve en eksiksiz iskeletlerinden biri olan

Tunç Çağı aletlerinin meteordan yapıldığı kanıtlandı Fransa Ulusal Bilimsel Araştırmalar Merkezi’nden bilim insanı Albert Jambon, Tunç Çağı’na ait demir aletlerin

Mars’taki kil mineralleri ilkel buhar banyosunda oluşmuş olabilir Brown Üniversitesi’nden gezegen bilimciler, Mars’ta eski kil minerallerinin oluşması için yeni bir

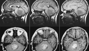
Atipik teratoid / rabdoid tümör (AT/RT) veya medulloblastoma gibi agresif beyin tümörleri geliştirmiş olan çocuklar için yeni bir umut kapısı

Yapay zeka mühendisi ihtiyacının fazla olduğu bilinen bir gerçek fakat Çin’in teknoloji devi Tencent tarafından yayımlanan bir rapor, ihtiyacın tahmin